Avoir des dents blanches est un objectif de beauté très recherché. Pourtant, il n’est pas nécessaire de recourir à des produits coûteux ou à des traitements chimiques pour éclaircir votre sourire. En utilisant des ingrédients simples et naturels, il est possible de retrouver des dents plus blanches et d’améliorer votre hygiène bucco-dentaire
Dans cet article, nous vous présenterons une méthode simple à réaliser à la maison, avec des ingrédients courants que vous pouvez avoir dans votre cuisine. Nous explorerons également les avantages de cette méthode, les précautions à prendre et les raisons pour lesquelles elle fonctionne.
Mot-clé principal : dents blanches
Pourquoi se soucier de la couleur de ses dents ?
La couleur des dents est influencée par plusieurs facteurs, notamment :
- L’alimentation (consommation de café, thé, vin, etc.)
- Le tabagisme
- La génétique
- L’âge (les dents deviennent naturellement plus jaunes avec le temps)
Il est donc normal que vos dents se décolorent au fil des années. Cependant, un sourire éclatant est souvent associé à une bonne hygiène et à des soins réguliers.
Les méthodes naturelles pour blanchir les dents sont non seulement économiques mais aussi plus respectueuses de l’émail dentaire, à condition d’être utilisées avec modération.
Recette maison pour des dents blanches
Ingrédients nécessaires :
- Sel : Le sel est un abrasif doux qui permet d’éliminer les taches superficielles des dents.
- Dentifrice : Vous pouvez utiliser n’importe quel dentifrice, idéalement un qui ne contienne pas trop de produits chimiques agressifs.
- Citron : Le citron possède des propriétés blanchissantes naturelles grâce à son acide citrique, mais il doit être utilisé avec précaution.
- Un bol et une petite cuillère : Pour mélanger les ingrédients.
Étapes de préparation :
- Préparer le mélange :
Dans un bol, ajoutez 3 cuillères à soupe de sel fin. Ajoutez ensuite 1 cuillère à soupe de dentifrice. Pressez un demi-citron pour en extraire le jus, puis mélangez bien les ingrédients jusqu’à obtenir une pâte homogène. - Application sur la brosse à dents :
Prenez votre brosse à dents et appliquez le mélange sur les poils. Vous pouvez également appliquer une petite quantité du mélange directement sur vos dents, mais assurez-vous qu’il soit bien réparti. - Brossage des dents :
Brossez vos dents comme d’habitude, en effectuant des mouvements doux et circulaires. Insistez sur les zones plus jaunes ou tachées, sans exercer de pression trop forte pour ne pas abîmer l’émail. - Rinçage :
Rincez abondamment à l’eau tiède pour éliminer tout résidu. Vous pouvez utiliser un bain de bouche pour compléter votre nettoyage.
Fréquence d’utilisation
Il est conseillé de réaliser ce traitement une fois par semaine. Cela permet d’éviter d’agresser l’émail des dents avec des ingrédients abrasifs comme le sel et le citron.
Pourquoi cette méthode fonctionne ?
Le sel comme abrasif doux
Le sel agit comme un exfoliant naturel qui élimine les taches superficielles sans abîmer l’émail. Il a un effet polissant qui aide à maintenir les dents propres et éclatantes.
Le dentifrice pour l’hygiène bucco-dentaire
Le dentifrice contient des agents nettoyants qui aident à éliminer la plaque dentaire et les bactéries, contribuant ainsi à la santé générale de vos dents.
Le citron comme blanchissant naturel
L’acide citrique contenu dans le citron a un léger effet blanchissant. Il aide à dissoudre les taches de surface et peut rendre les dents plus éclatantes. Cependant, son acidité peut aussi être dommageable pour l’émail si utilisé de manière excessive. C’est pourquoi il est important de l’utiliser avec précaution et en complément d’autres ingrédients moins abrasifs.

Précautions à prendre
Utilisation modérée du citron
Le citron, bien que naturel, est acide et peut, en excès, endommager l’émail dentaire. Il est donc important de ne pas l’utiliser trop fréquemment pour éviter l’usure de l’émail.
Ne pas forcer le brossage
Un brossage trop vigoureux peut entraîner une abrasion de la surface des dents et, à long terme, causer des dommages. Utilisez toujours une pression légère pour protéger vos dents.
Testez votre réaction
Si vous avez les dents sensibles, il est recommandé de faire un test sur une petite zone de vos dents avant d’appliquer le mélange sur tout le sourire.
Consultez un professionnel
Si vous avez des préoccupations concernant la santé de vos dents ou des problèmes spécifiques comme des caries ou des gencives sensibles, il est préférable de consulter un dentiste avant de tester des méthodes maison.
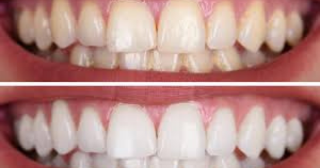
Les résultats que vous pouvez attendre
En utilisant cette méthode une fois par semaine, vous devriez commencer à voir des résultats après quelques utilisations. Vous remarquerez probablement :
- Une réduction des taches superficielles
- Un éclat général amélioré
- Une sensation de fraîcheur dans la bouche
Cependant, il est important de comprendre que cette méthode ne donnera pas des résultats spectaculaires comme un blanchiment professionnel, mais elle permet d’entretenir un sourire éclatant au quotidien.
Alternatives naturelles pour des dents blanches
Outre le mélange au citron, il existe d’autres méthodes naturelles pour blanchir vos dents, telles que :
- Bicarbonate de soude : Un autre abrasif doux qui peut être mélangé avec du dentifrice ou de l’eau pour frotter les dents.
- Huile de coco : L’huile de coco a des propriétés antibactériennes et peut être utilisée pour un oil pulling (bain de bouche) afin de réduire la plaque dentaire et aider à garder des dents blanches.
- Charbon actif : Bien que controversé, le charbon actif est utilisé par certaines personnes pour ses propriétés détoxifiantes et blanchissantes.
Précautions supplémentaires
Si vous optez pour ces alternatives, veillez à ne pas les utiliser trop fréquemment et à ne pas abîmer l’émail de vos dents. Il est toujours recommandé de consulter un professionnel pour des conseils personnalisés.
FAQ – Avoir des dents blanches naturellement
Faut-il éviter d’autres boissons colorées ?
Oui, les boissons comme le café, le thé, le vin rouge ou même certaines boissons gazeuses peuvent entraîner des taches. Il est conseillé de les consommer avec modération et de rincer votre bouche après.
Est-ce que cette méthode est adaptée à tout le monde ?
Cette méthode convient à la majorité des personnes, mais si vous avez des dents sensibles ou des problèmes dentaires, il est préférable de demander l’avis d’un dentiste.
Combien de temps faut-il pour voir des résultats ?
Les résultats peuvent commencer à apparaître après 2 à 3 semaines d’utilisation régulière du mélange.
Conclusion
Obtenir des dents plus blanches naturellement est tout à fait possible grâce à des méthodes simples et économiques. Cette recette maison, combinant sel, citron et dentifrice, est une excellente alternative aux produits blanchissants industriels. Cependant, il est crucial de l’utiliser avec modération pour ne pas nuire à l’émail dentaire. N’oubliez pas d’intégrer également une bonne hygiène bucco-dentaire et des visites régulières chez votre dentiste pour maintenir la santé de vos dents sur le long terme.
Sources externes recommandées
- American Dental Association – Conseils sur l’hygiène dentaire et les produits de blanchiment : https://www.ada.org/en
- Mayo Clinic – Recommandations pour des dents saines et éclatantes : https://www.mayoclinic.org
- INSERM – Études sur les effets des aliments et produits sur la santé dentaire : https://www.inserm.fr
Cela vous permet de prendre soin de vos dents de manière naturelle tout en préservant leur santé à long terme.
I believe this is among the so much vital information for me. And i am glad studying your article. However should remark on some general things, The site style is wonderful, the articles is in reality nice : D. Just right job, cheers
Thanks for the good writeup. It in truth was once a entertainment account it. Look complex to more added agreeable from you! However, how could we be in contact?